Components of Multimodal Osteoarthritis Management
Figure 3. Components of a multimodal approach to arthritis management. Courtesy Hill’s Pet Nutrition, Topeka, KS.
Arthritis is defined as inflammation of one or more synovial joints, usually accompanied by pain, swelling, and stiffness. Causes of arthritis are joint instability, trauma, degenerative changes (osteoarthritis), infection (bacterial or fungal arthritis), metabolic disturbances, or immune mediated disease (rheumatoid arthritis). Osteoarthritis caused by joint or ligament injury is most common in dogs and cats.
Joints are made up of a thin layer of slippery pliable cartilage that covers the ends of bones. The joint is surrounded by a capsule, and the space between bone ends is full of a clear slippery joint fluid.
Arthritis occurs when the cartilage layer covering the bones is eroded, and the ends of the bones rub together, causing inflammation. The body responds to constant inflammation by developing osteophytes, or “bone spurs,” around the margin of the joint. The joint fluid becomes thin and less slippery, and bone on bone contact with movement causes pain.

Figure 1. Radiograph of a normal canine stifle (knee joint) with no arthritis.

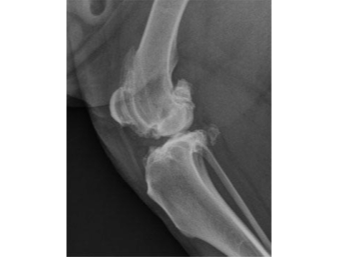
Figure 2. Radiograph of a canine stifle (knee joint) with advanced arthritis. Same dog as in figure 1, opposite stifle.
The primary symptom of arthritis is pain. Dogs will limp, become less active, or are sometimes slow to rise or slow to lay down. Some may be restless with sleeping, or be reluctant to go for walks.
Cats usually show few specific symptoms of arthritis. Most commonly, they just become less active, which is often attributed to laziness or age by their owners.
Diagnosis begins with a thorough orthopedic exam. The most commonly used diagnostic tool for arthritis is radiography. Other tests may also include CT scan, MRI, or a joint fluid analysis. Bone scans are sometimes recommended to help define areas of inflammation in a patient.
If there is an identified cause of arthritis, the underlying cause needs to be appropriately treated. Arthritis due to joint or ligament injury, the most common cause of arthritis in dogs, is most often treated with surgery. A delay in diagnosing sports injuries such as cruciate ligament tears, patellar luxations, and hip dysplasia allows arthritis to develop. Accurate diagnosis and timely surgical intervention is key to prevention of longterm arthritis.
Infectious arthritis is treated with antibiotics, and immune mediated disease is treated with immunosuppressive medication. Osteoarthritis is not reversible, and once present usually progressively worsens over time.
Osteoarthritis without a correctable underlying cause is treated with a “Multimodal Approach,” (Figure 3). There is no single reliable solution to the symptoms of arthritis, but several different treatments working together will often be successful.
Weight loss for overweight pets is the number one proven treatment to improve comfort and function of arthritic joints. Pets should have a normal to even slightly thin body condition. Decreasing the amount of food fed, eliminating or substituting pieces of raw vegetables as treats, and weighing your pet monthly are suggestions that may help with weight loss. Prescription weight loss diets are available. Underlying medical problems such as low thyroid function may contribute to increased weight.
During periods of pain and lameness, exercise should be limited to house confinement and leash walking only outside. This will allow inflammation in the joints to subside. After the initial rest period, controlled, non-concussive, strengthening exercise should be initiated. The best exercises to strengthen the muscles around the joints and improve function are swimming and straight line walking. Walking should begin slowly, for 10-15 minutes a day, gradually increasing to 30 minutes 3-5 times a week. The dog should be kept on a leash at all times. Swimming is ideal exercise for patients with orthopedic disease, if possible. Again, short sessions of 5-10 minutes initially, then gradually increasing swimming time to 15-20 minutes over a several week period.
During the period of strengthening, dogs should not be allowed to run off leash, chase a ball, play roughly with other dogs, or do other concussive, strenuous activities. After weight loss is achieved (if necessary), and the muscle mass is stronger from the controlled exercise, then these activities may be allowed.
Rehabilitation therapy is proven to be of significant benefit in people with osteoarthritis. Our rehab specialist can teach you techniques you can do with your dog at home and can recommend an exercise program that may include the underwater treadmill.
Non-steroidal antiinflammatory medications (NSAIDs) such as Previcox, Rimadyl, Metacam, or Deramaxx, Onsior (cats) (never in combination) may be used in healthy dogs on an as needed basis to decrease inflammation, swelling, and pain. These drugs are effective for treating pain and inflammation. NSAIDs are generally safe with a low risk of side effects. Side effects are more common in older, ill, or debilitated animals, but may occur in any pet. The most common side effects are decreased appetite, vomiting, or diarrhea. More serious side effects may alter liver and/or kidney function. These signs usually are mild and self-limiting; if they occur, stop giving the drug and contact the prescribing veterinarian.
Oral joint protective medications such as Dasuquin or other glucosamine/chondroitin sulfate supplements may be administered to help improve the health of the joints. These supplements are generally considered to be safe, with very few side effects, but may take several weeks to months to have effect.
Adequan, an injectable polysulfated aminoglycan has also shown to be effective treatment of degenerative or traumatic joint disease in dogs and cats.
There are several excellent diets, such as Hill’s J/D, that are specially formulated for dogs with osteoarthritis. By increasing omega-3 fatty acids and other nutrients they may increase mobility in arthritic pets.
There is much ongoing research about stem cell therapy, cartilage grafts, and other modalities that may prove to be helpful in the future.