Dallas Veterinary Surgical Center
Background:
Cranial cruciate ligament (CCL) disease is the most common orthopedic disease in dogs. The CCL is located inside the knee and functions to stabilize the knee during locomotion. Because the articular surface of the canine tibia (shin bone) is sloped backward, normal locomotion leads to forward translation (tibial thrust) of the tibia in relation to the femur (thigh bone). An intact CCL will maintain the stability of the knee, but a damaged or torn CCL will lead to abnormal motion such as tibial thrust. This instability can lead to lameness, osteoarthritis, abnormal cartilage wear, and/or meniscal injury.

The TPLO is the most common orthopedic procedure performed at DVSC for dogs with CCL disease. The theory behind the TPLO is to flatten the natural slope of the tibia in order to eliminate tibial thrust and provide stability to the knee (see procedure).
To the right is a picture of the stifle and associated structures mentioned above.
The goal of the TPLO procedure is to flatten the slope of the tibia in order to eliminate abnormal thrust motion. The surgery involves an incision over the inside aspect of the knee. The joint is explored (arthrotomy) to examine the CCL, assess arthritis, and look for any meniscal injury. If there is a meniscal injury, the meniscus is partially removed. An intact meniscus may also be surgically “released” as a prophylactic measure against future injury (surgeon dependent).
The “TPLO procedure” video demonstrates tibial thrust and how the TPLO eliminates this abnormal motion.

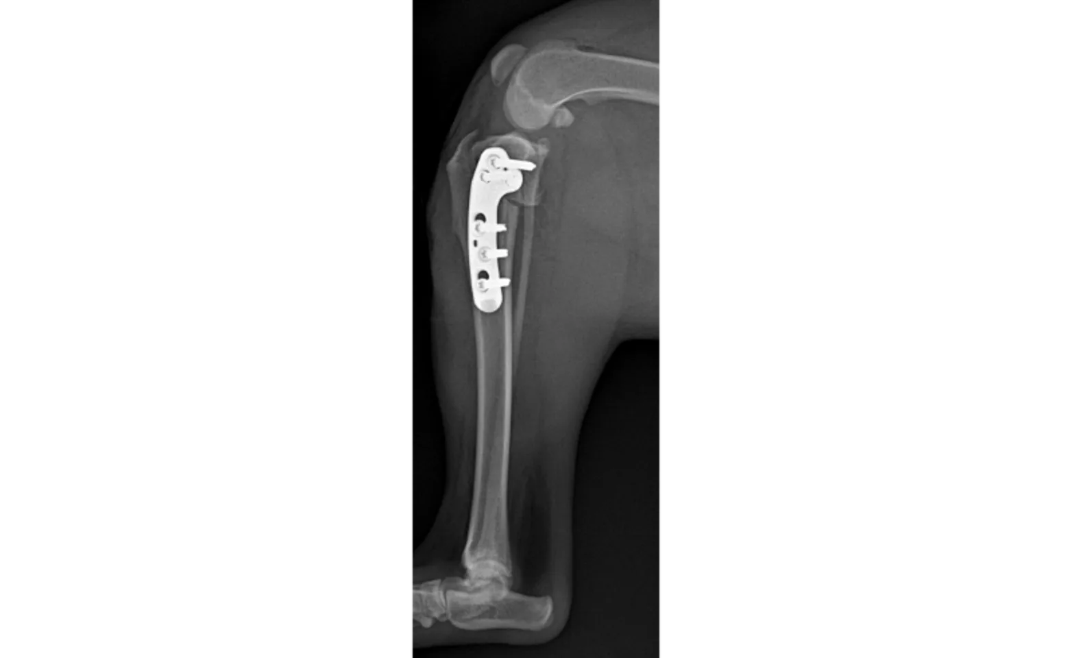
Next, a semicircular cut is made into the top portion of the tibia and the segment is rotated backward to create a flatter tibial slope. The two pieces of bone are then held in place with a stainless steel bone plate that is screwed onto the bone. See the X-rays pre and post-TPLO surgery (fig 2 [Pre-op. Steep slope.] & fig 3 [Post-op. Flatter slope]).
Post-operative Care
Post-operative care after a TPLO surgery includes activity restriction, incision care, physical therapy, medications, and follow-up X-rays.
Activity Restriction – The bone that is cut during a TPLO requires at least 8-12 weeks to heal. During this time, the patient needs to have their activity restricted as to not cause complications with the fixation. Too much activity can lead to loss of rotation, implant failure, meniscal injury, and pain. The DVSC usually recommends confinement (crate, kennel, enclosure, small room), leash walks only, no jumping, no playing, no climbing, and no running for the majority of the recovery period. As the patient recovers, the surgeon will implement gradual return to normal activity.
Incision Care – It usually takes about 2-3 weeks for the incision and soft tissues to heal. During this time, it is important to monitor the incision for any excessive swelling, oozing, or incisional dehiscence (opening up). We also recommend an E-collar (cone) placed around the dogs’ head in order to keep them from chewing or licking at the incision. Licking or chewing at the incision can lead to dehiscence and/or infection of the site, which can be a serious complication especially if infection reaches the bone plate.
In addition, cold and/or warm compress may be implemented to decrease incisional swelling.
Physical Therapy – All the surgeons at DVSC support some form of post-operative physical therapy. Physical therapy can range from basic “bicycle” exercises to physical therapy with our Animal Rehabilitation group. Your surgeon will advise you on how much physical therapy to implement with your dog. Please visit North Texas Animal Rehabilitation for further information.
Medications – All our patients are dispensed pain medications after TPLO surgery. The necessity for pain medication is patient dependent and can range from just a few days to the entire recovery period. In addition, antibiotics may also be prescribed. The surgeon will determine the necessary duration of pain medications or antibiotics.
Follow-up – All TPLO patients are recommended to have an 8-10 week post-op X-ray to assess bone healing. Recommendations for returning to normal activity will be given after assessment of the X-rays.
Complications
Complications with the TPLO procedure are quite rare. Less than 5-10% of patients have complications as long as the post-operative instructions are followed closely. These complications can include infection, implant failure, problems with bone healing, and/or meniscal injury. Most, if not all, complications can be addressed as long as they are discovered early. All clients will be informed on how to identify signs of possible complications.
Prognosis
There is usually a good to excellent prognosis for dogs undergoing the TPLO procedure. Prognosis is patient dependent and can be assessed by a surgeon at DVSC.
Author: Dr. Kim Tong
