Dallas Veterinary Surgical Center
Background
The femoral head ostectomy (FHO) is a salvage procedure that can be performed on both dogs and cats of almost any age. The FHO removes the femoral head and neck of the femur in order to eliminate the bone-on-bone contact of the hip. This is done to alleviate pain associated with diseased or injured hip joints. Conditions in which an FHO could be considered are: aseptic necrosis of the femoral head (Legg-CalvéPerthes), joint laxity, hip luxation, osteoarthritis, fractures of bones comprising the hip, hip dysplasia, and complications of total hip replacement. After an FHO, the body creates a pseudoarthrosis (false joint) to stabilize the hip.
When to consider the FHO
The FHO procedure should be considered when there is pain and lameness of the hip that cannot be alleviated by pain medication, weight loss, non-surgical, and/or other surgical procedures. The FHO is considered a salvage procedure and cannot be reversed, and therefore it may be considered as a last resort. Only a total hip replacement can potentially be performed post-FHO. An experienced veterinary surgeon can help recommend non-surgical and surgical procedures that may preclude an FHO depending on the type of hip disease/injury.
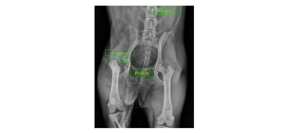
Diagnostics
Diagnostic imaging such as radiography (X-rays) or CT may be used to determine the underlying cause of hip pain/lameness and potentially plan for surgical procedures that preserve the hip joint. The choice to perform an FHO is determined by the patient’s condition and discussion between the owner and veterinarian. Below is a radiograph of a patient suspected to have aseptic necrosis of the femoral head. Notice the difference in density and appearance between the left and right femoral head. An FHO was chosen for this patient.
Procedure
A standard cranio-lateral approach to the hip is performed. The muscles around the hip are retracted and the coxofemoral (hip) joint capsule is opened. The femoral head is luxated from the pelvis and held in an externally rotated position to expose the femoral head and neck. The head and neck are transected using a surgical saw. The recommended line of transection is shown below, depicted by the blue line.
After excision, the joint capsule and musculature are closed over the acetabulum and the incision is closed with suture material. Postoperative radiographs are taken to confirm proper excision.
Postoperative Care
In the postoperative period, pain medications are prescribed for 1-2 weeks depending on surgeon preference. The incision needs to be monitored for 10-14 days for any signs of inflammation or discharge. Unlike most orthopedic procedures, dogs and cats with FHOs are recommended to have controlled exercise and physical therapy early after surgery. This includes controlled weight bearing, range of motion exercises, and thrusting exercises. Physical rehabilitation has been shown to promote early weight bearing and enhanced function post-FHO.
Refer to the link below for information on veterinary physical rehabilitation.
Veterinary Physical Rehabilitation
Complications
Complications of FHO are uncommon but may include limb shortening, muscular or neurologic damage, patellar (knee cap) luxation, continued lameness, decreased range of motion and muscle atrophy.
Prognosis
Prognosis is usually good to excellent for return to normal or near-normal function of the limb. Animals weighing less than 40lbs seem to have better long-term results than those that weigh more. Also, early physical rehabilitation significantly improves long-term function of the limb. An experienced veterinary surgeon can help determine prognosis on a case-by-case basis. Author: Kim Tong, DVM



